Gonore, Penyakit 'Pilek' pada Alat Kelamin yang Perlu Diwaspadai
Gonore adalah salah satu jenis penyakit Infeksi Menular Seksual yang bisa menjadi berbahaya bila tidak segera diobati.
Penulis: Pebby Ade Liana | Editor: Ferdinand Waskita Suryacahya
Laporan wartawan TribunJakarta.com, Pebby Adhe Liana
TRIBUNJAKARTA.COM, JAKARTA - Gonore adalah salah satu jenis penyakit Infeksi Menular Seksual yang bisa menjadi berbahaya bila tidak segera diobati.
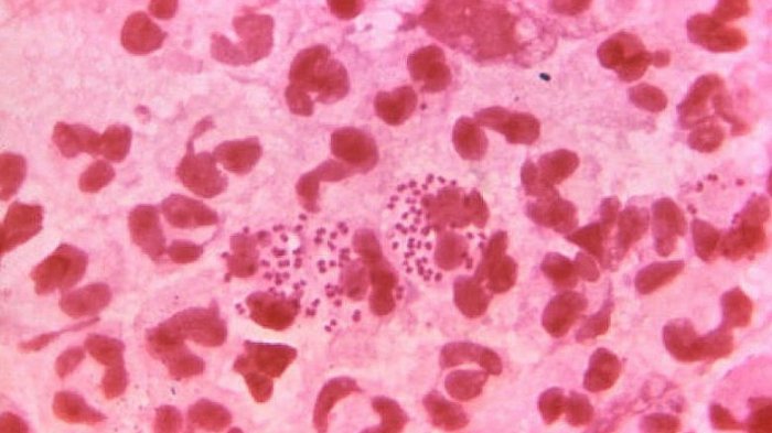
Penyakit ini, disebabkan oleh bakteri Neisseria Gonorrhoeae.
Gonore bisa ditularkan ketika melakukan kontak seksual dengan orang yang terinfeksi baik secara vaginal maupun anal.
Seperti halnya pilek pada hidung, penderita Gonore akan mengeluarkan lendir berwarna putih pada alat kelaminnya.
"Jadi terjadi seperti Pilek, tapi bukan pada hidung. Makanya disebut dengan istilah pilek pada Alat Kelamin," kata dr Anthony Handoko, SpKK, CEO Klinik Pramudia dalam virtual media briefing hari ini, Rabu (5/8/2020).
Kebanyakan, penyakit ini lebih mudah dikenali pada pria ketimbang wanita.
Beberapa gejala yang sering terjadi diantaranya keluarnya nanah berwarna putih pada penis, gejala sakit ketika berkemih yang disertai dengan lubang kemih yang memerah atau bengkak.
Sementara pada wanita, seringkali tanpa keluhan. Kecuali pada kasus yang berat dan berlanjut.
"Beberapa gejala, biasanya sangat mudah dideteksi terutama pada pria. Sementara pada wanita biasanya tanpa keluhan. Ini dipengaruhi karena bentuk anatominya," kata dia.
Keluarnya nanah pada penis juga seringkali menimbulkan bercak pada celana dalam.
Beberapa faktor resiko yang bisa menyebabkan terjadinya penyakit ini seperti orang dengan usia produktif memiliki prilaku seksual yang aktif dan tidak aman serta mengobati diri sendiri dengan membeli obat tanpa anjuran dokter, sehingga mengalami masa inkubasi yang pendek.
Menurut Anthony, penyakit ini bisa disembuhkan. Asalkan, segera mendapatkan penanganan yang tepat.
Jika tidak diobati, maka akan meningkatkan berbagai macam risiko yang berbahaya.
Komplikasi gonore dapat terjadi pada genital dan sekitarnya.
• Polisi Diminta Tangkap Maling yang Ancam Bunuh Balita, Sang Ibu: Biar Tidak Ada Korban Lagi
• Akrab dengan Lesty Kejora, Rizky Billar Ungkap Belum Siap Pacaran
:quality(30):format(webp):focal(0.5x0.5:0.5x0.5)/jakarta/foto/bank/originals/gonorrea_20180330_133351.jpg)